Стоматологическая клиника Степдент

Популярные услуги

Акции и скидки

Профессиональная гигиена полости рта - зачем это нужно?
Срок действия
Постоянная акция
Представлены текущие акции
Новые предложения появятся позже

Подробнее о компании Степдент

Зачем мы посещаем стоматологические клиники? Как правило, на это сподвигает внезапная зубная боль. В стоматологической клинике Степдент с особой заботой отнесутся к вашему случаю. Новейшие технологии в сфере стоматологии помогают персоналу клиники успешно лечить заболевания полости рта и сопутствующие недуги.

Если вы собираетесь добиться поистине голливудской улыбки, то работу над ней лучше доверить профессионалам. В стоматологической клинике Степдент имеется все необходимое для того, чтобы ваши зубы снова стали белоснежными. В нашей стоматологии готовы предоставить услуги лечения кариеса, удаления зубов, отбеливания, рентгенологической диагностики, а также установки металлокерамики, имплантов, виниров. С нашими специалистами ваша улыбка будет в надежных руках!

Записаться на консультацию к нужному специалисту можно по телефону.

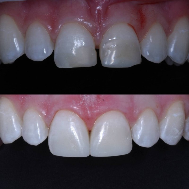
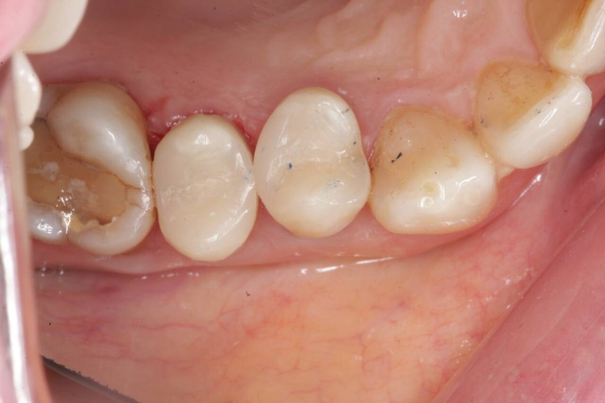
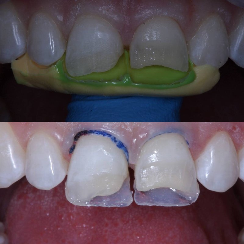
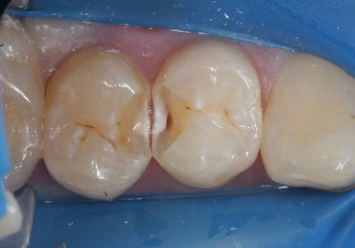
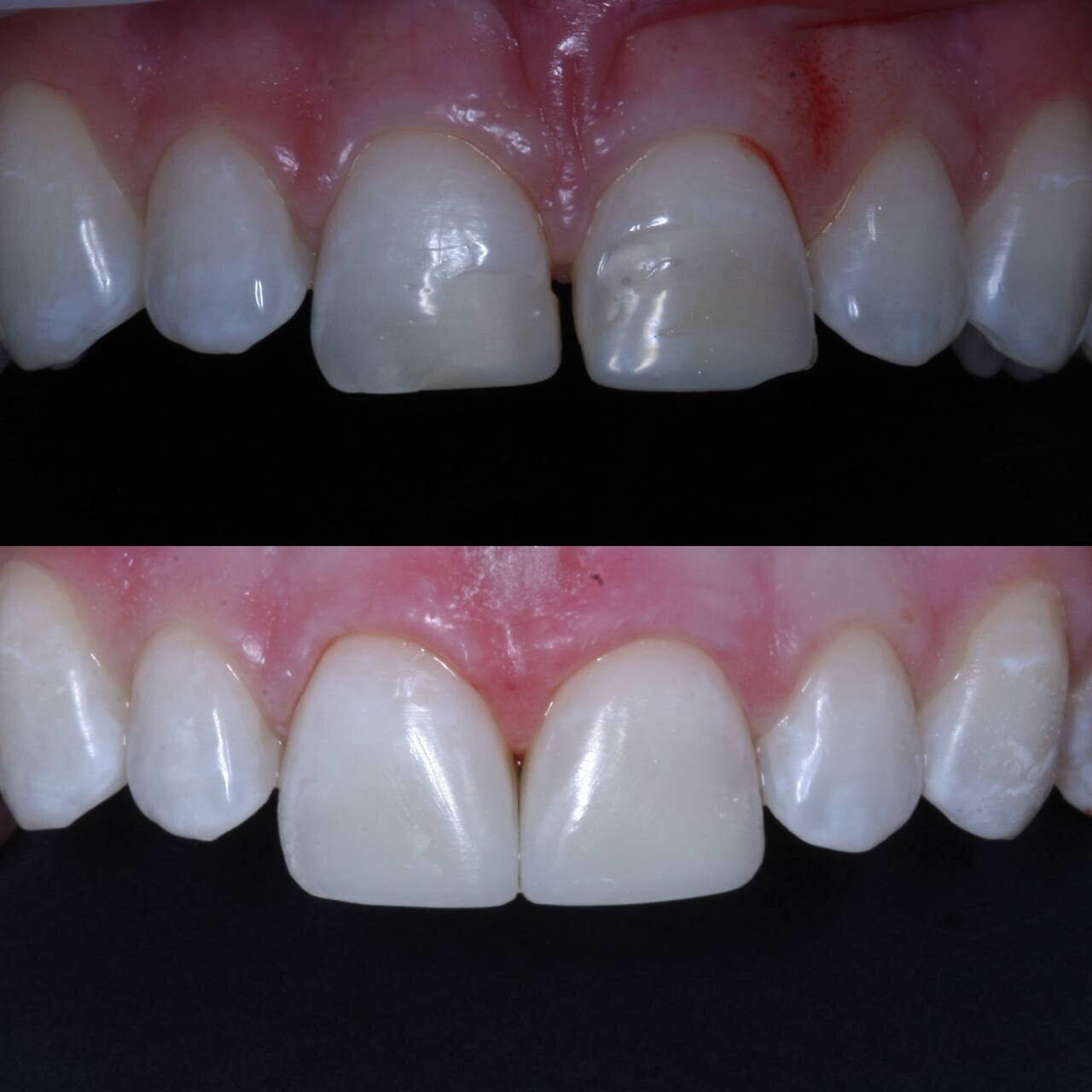
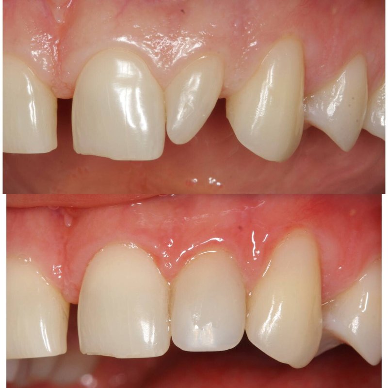
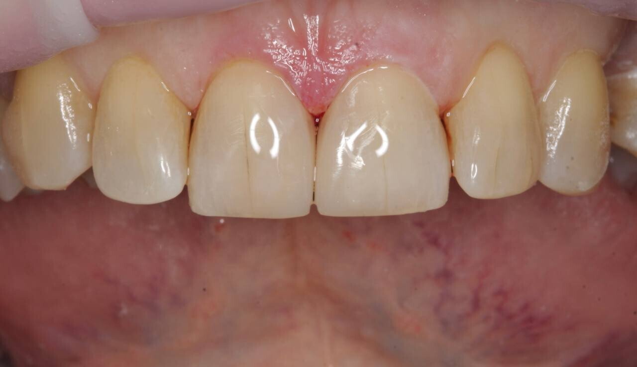
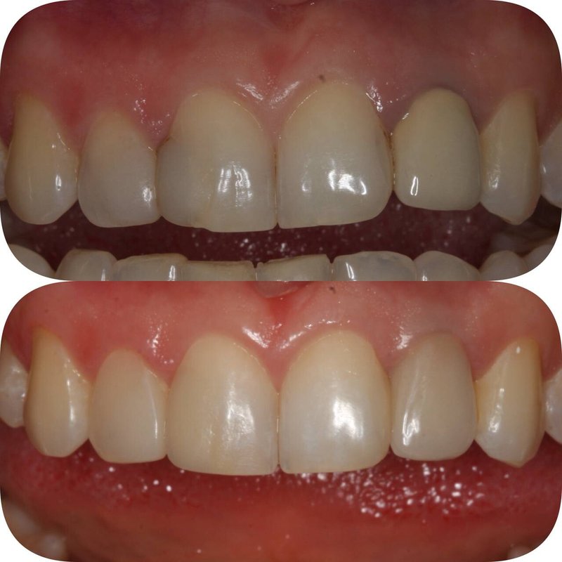
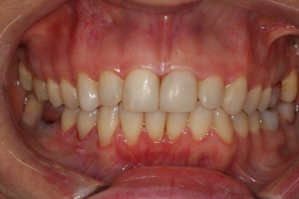
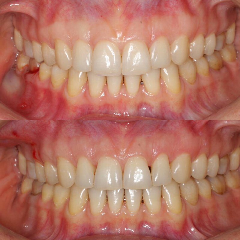
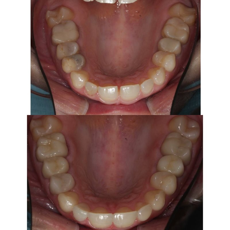
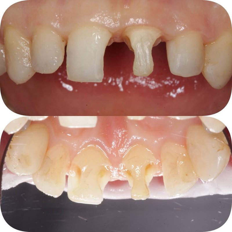
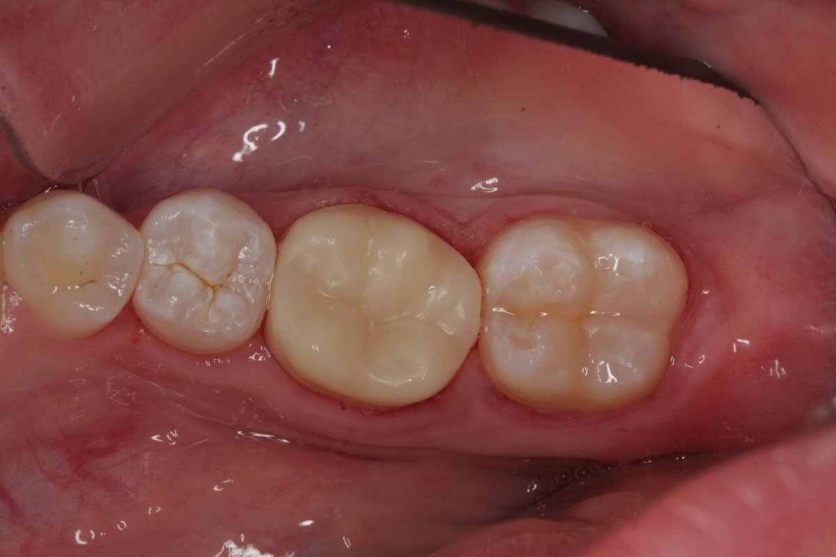
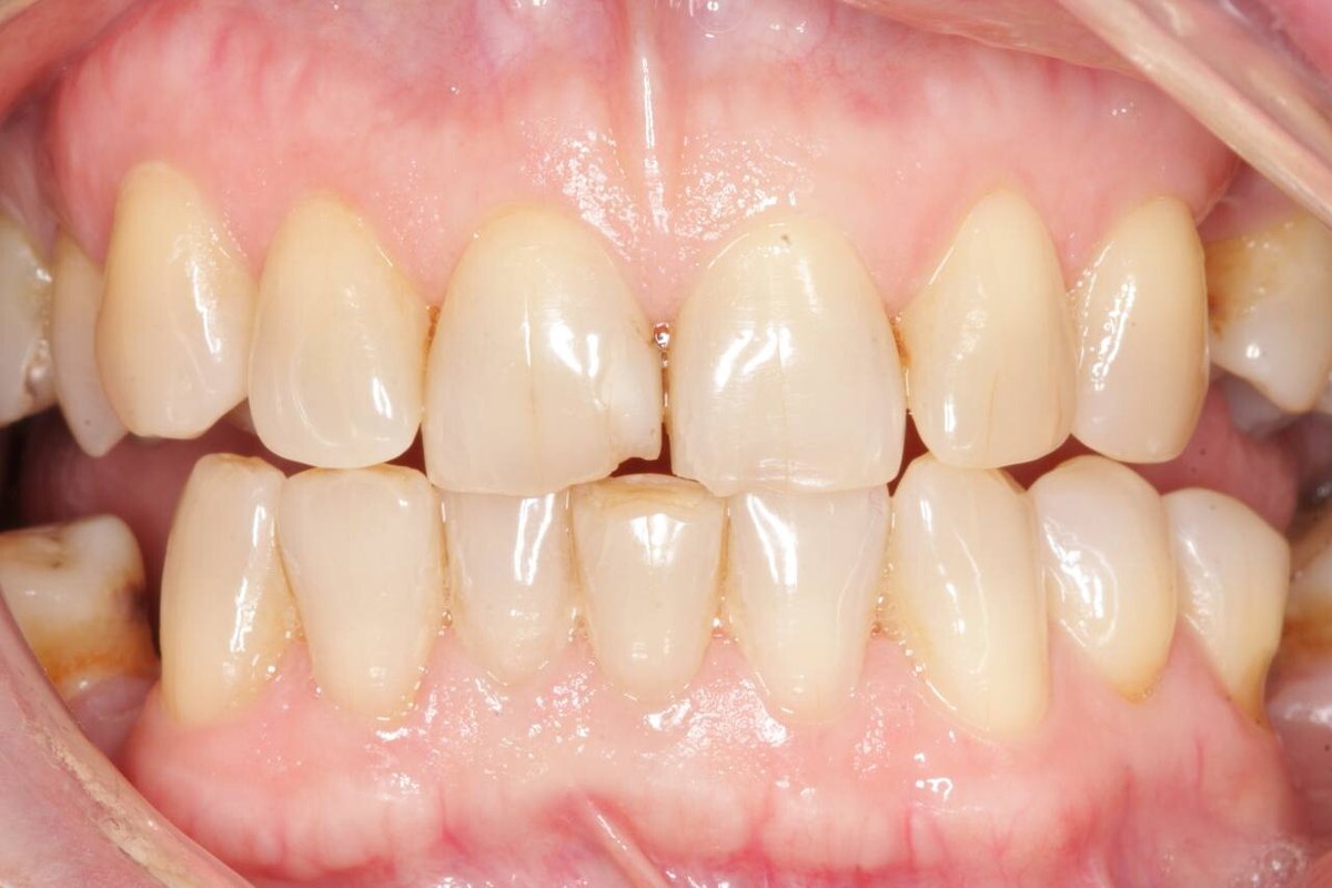
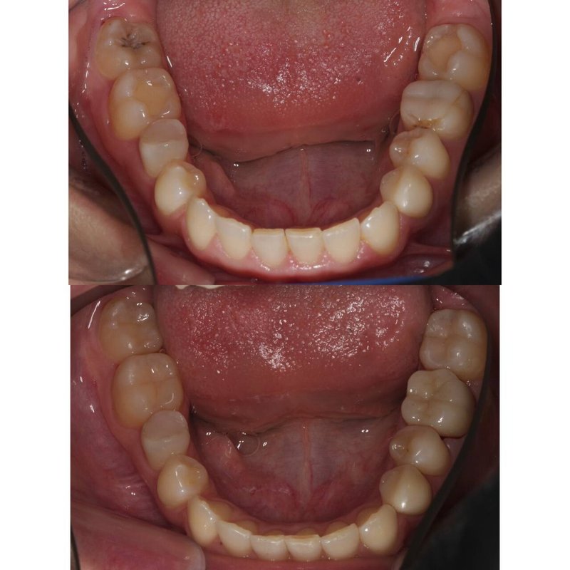
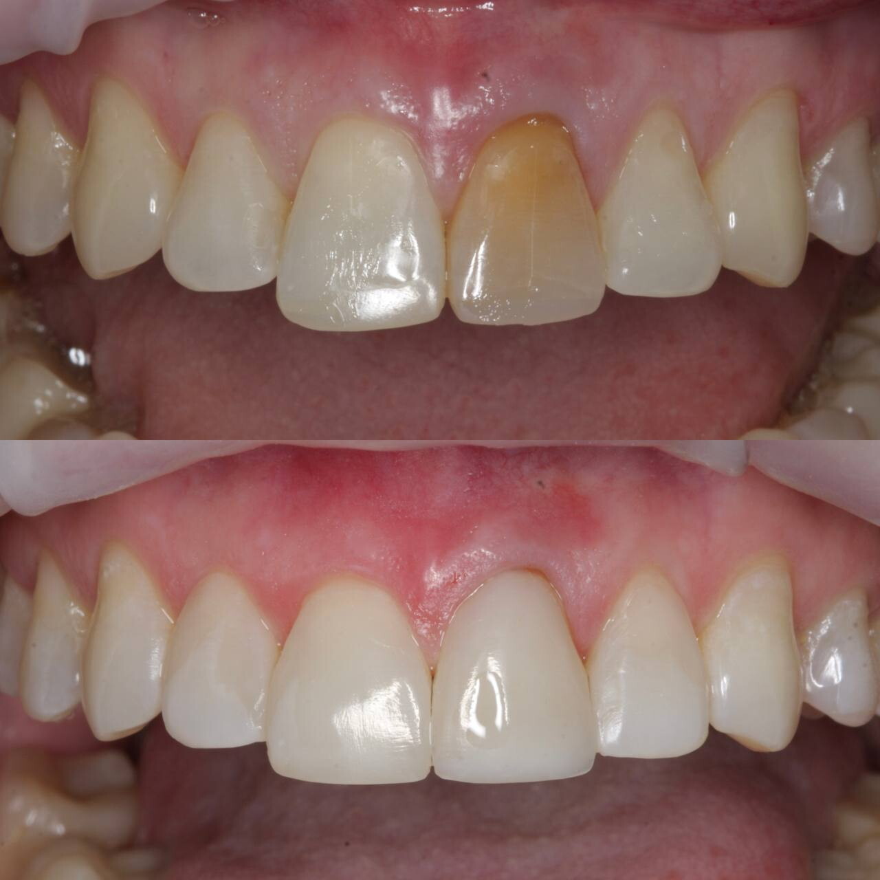
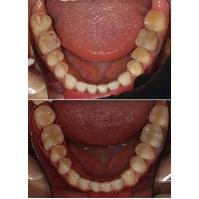
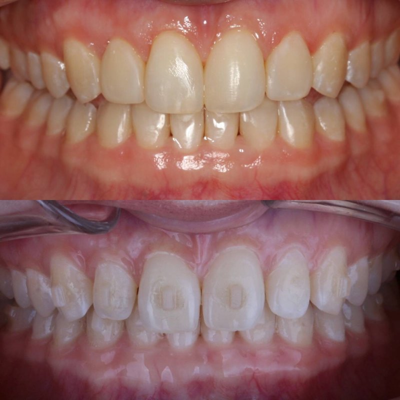
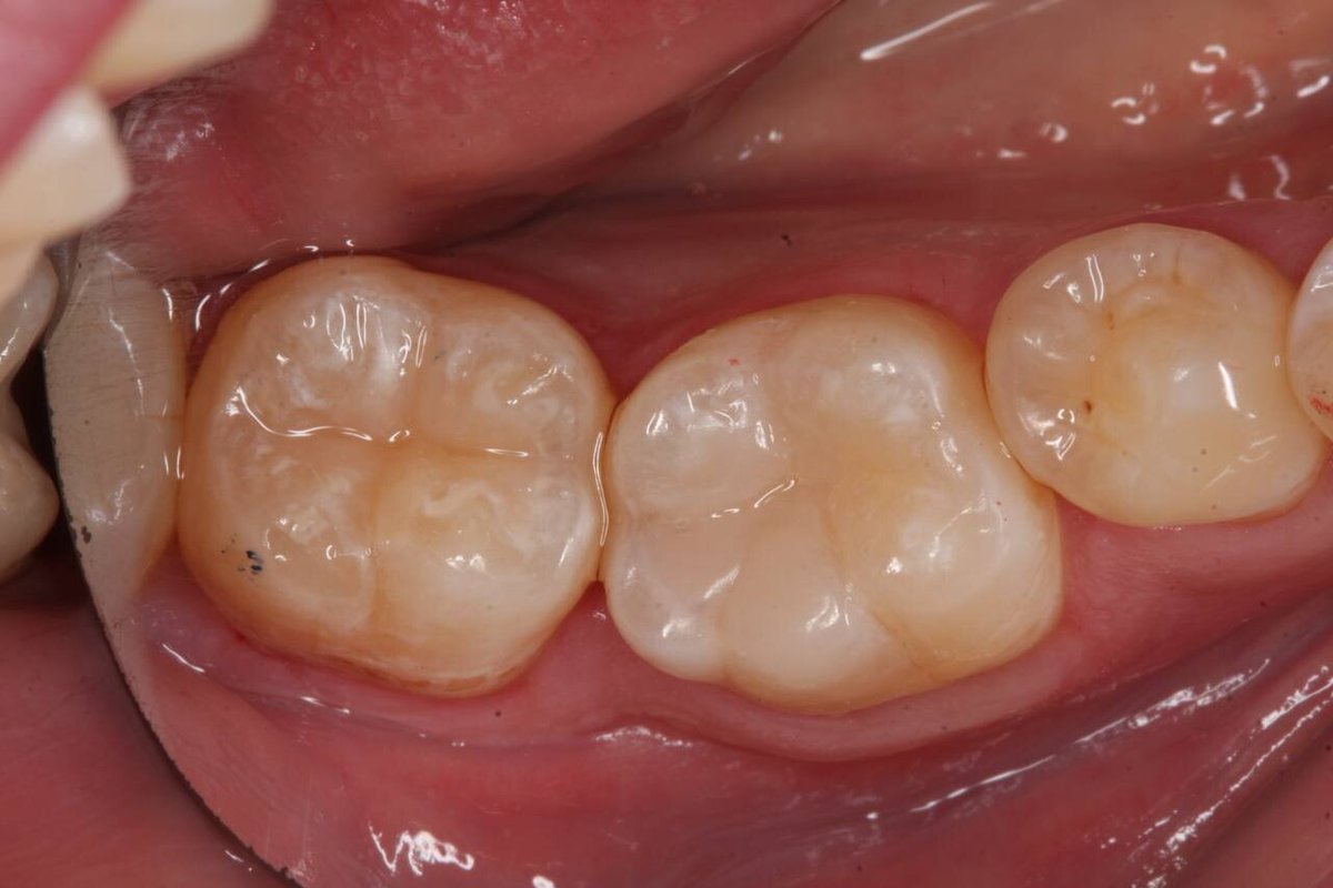
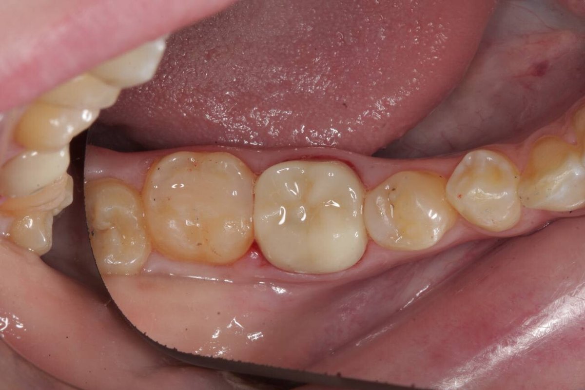
Фотогалерея

Специалисты

Виктор Владимирович Степченков
Виктор Владимирович Степченков
генеральный директор , врач стоматолог -ортопед , врач стоматолог -хирург , врач стоматолог -терапевт , окончил Воронежский государственный медицинский университет в 2011, окончил ординатуру по стоматологии общей практики , стаж 11 лет
Тамара Вячеславовна Степченкова
Тамара Вячеславовна Степченкова

Степченкова Тамара Вячеславовна является стоматологом-ортопедом. Вы можете обратиться к Тамаре Степченковой, если вам требуется восстановить утраченный зуб или если один из зубов поврежден до такой степени, что с помощью пломбы его не спасти. Протезирование предполагает профессиональную санацию зубов, так что перед обращением к ортопеду стоит посетить стоматолога-терапевта.

Анна Сергеевна Кудрина
Анна Сергеевна Кудрина

Кудрина Анна Сергеевна является ортодонтом. Анна Кудрина в том числе занимается лечением кариеса. Думая о походе к стоматологу-ортодонту, стоит не забывать, что неправильный прикус - не просто эстетическая проблема. Зубочелюстные аномалии влияют на строение позвоночника, работу мышц шеи и даже на осанку. Ортодонтическое лечение длится довольно долго, однако это каждый раз является немаловажным вложением в собственное здоровье и качество жизни.

Кристина Тюрина
Кристина Тюрина

Тюрина Кристина является ассистентом стоматолога. Она помогает пациентам принимать правильные решения, касающиеся их здоровья, и обеспечивает им требуемую помощь и поддержку. К Кристине Тюриной стоит обратиться, чтобы разобраться в трудных медицинских вопросах, понять причину недомогания, узнать о способах его лечения и профилактики.

Лицензии, награды, сертификаты

Отзывы

Отзывы периодически дополняются
Удалить отзыв

Остались вопросы?

Вы можете воспользоваться любым из указанных способов связи
Контактный номер
+7 (910) 751-25-... Показать
Мессенджеры